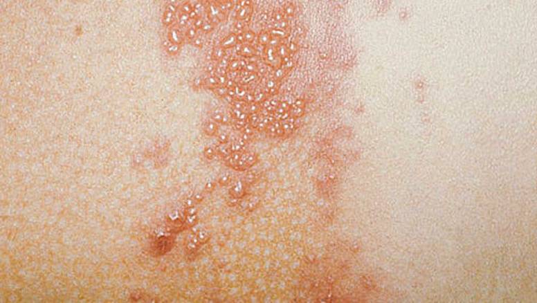
La varicela y el herpes zóster son dos enfermedades producidas por el mismo virus, el virus de la varicela-zóster. La varicela es la fase aguda de la infección primaria del virus, con el que tenemos contacto generalmente en la infancia. El herpes zóster se caracteriza por la aparición de lesiones en la piel, que se acompañan de dolor intenso de tipo punzante, sensación de adormecimiento de la zona y picor, que posteriormente evolucionan a vesículas y finalmente a costras. Las lesiones se limitan a zonas de la piel por las que pasan los nervios sensitivos de los ganglios afectados. Las zonas más afectadas suelen ser la zona dorsal y lumbar y los pares craneales.
El herpes zóster (HZ) es una enfermedad muy frecuente, que se presenta a partir de los 50 años y mayormente en mujeres, aumentando con la edad y, de manera considerable, con nuestras defensas bajas y con determinadas condiciones de riesgo. En España se estima que afecta a 350 personas por cada 100.000 habitantes, a 625 por cada 100.000 habitantes en mayores de 50 años. De acuerdo a la evolución del número de habitantes a medio y largo plazo, el envejecimiento paulatino de la población junto con el aumento en el número de personas con determinadas enfermedades y con bajas defensas hace que se espere un aumento de los datos de población afectada.
Un estudio publicado en Eurosurveillance (www.eurosurveillance.org/content/10.2807/1560-7917.ES.2023.28.8.2200390), la revista que edita el Centro Europeo para la Prevención y el Control de Enfermedades (ECDC), apunta a un aumento de las hospitalizaciones por este herpes, que supone “un problema de salud pública en España al que hay que dar prioridad”. Entre los años 1998 y 2018 se han producido 65.401 hospitalizaciones por esta causa, y la incidencia media se ha disparado de 5,82 a 9,21 casos por cada 100.000 habitantes. Un aumento sostenido por los grupos de mayor edad: los mayores de 85 años superaron los 70 casos en 2018, mientras 20 años antes no pasaban de los 30. Aquellos entre 65 y 84 años rondan los 22 casos por cada 100.000 habitantes.
Aunque el HZ presenta una baja mortalidad, las complicaciones, fundamentalmente la neuralgia postherpética (NPH), pueden ocasionar discapacidad y disminuir la calidad de vida de las personas que la padecen. Los estudios publicados ofrecen resultados favorables a la vacunación, y cada vez son más los países que la incluyen en sus programas de prevención. El 25 de marzo de 2021 la Comisión de Salud Pública aprobó el documento “Recomendaciones de vacunación frente a herpes zóster”, en el que se revisa el desarrollo y la frecuencia de la enfermedad, las características de las vacunas y su evidencia en la prevención de HZ y de NPH, la utilización de las vacunas en países de nuestro entorno, su repercusión en el funcionamiento del resto del programa de vacunación, los aspectos éticos y el coste-efectividad de la vacunación sistemática frente a HZ.
Objetivo de la estrategia de vacunación frente a HZ
Los objetivos fundamentales de la vacunación frente a HZ son:
- Prevención del HZ: disminuir los datos de enfermedad y mortalidad asociados a esta enfermedad en adultos.
- Prevención de la NPH: disminuir el número de casos y hospitalizaciones por NPH. La vacuna es solo para uso preventivo, y no está destinada para el tratamiento de la enfermedad clínica establecida.

Indicaciones de vacunación en la Comunidad de Madrid
Siguiendo las recomendaciones aprobadas por la Comisión de Salud Pública el 25 de marzo de 2021, la Comunidad de Madrid, desde enero de 2022, indica la vacunación frente a HZ a:
- Personas con las siguientes condiciones de riesgo, que tienen en común la disminución de las defensas y un riesgo de padecer la enfermedad mucho más elevado que la población general, a partir de los 18 años de edad:
- Trasplante de progenitores hematopoyéticos (TPH).
- Trasplante de órgano sólido (TOS).
- Tratamiento con algunos fármacos que se usan para el tratamiento de la artritis.
- Virus de la inmunodeficiencia humana (VIH).
- Hemopatías malignas.
- Tumores sólidos en tratamiento con quimioterapia.
- Población general de 65 años (nacidos en 1957) y de 80 años (nacidos en 1942).
En el año 2023, dada la disponibilidad de dosis y con el objetivo de vacunar en tres años a las personas con edades comprendidas entre 65 y 80 años de edad, se amplían los grupos a vacunar:
- Personas a los 65 años de edad (en 2023 nacidas en 1958).
- Personas de 75-80 años de edad (en 2023 nacidas entre 1948 y 1943).
- Rescate de las personas nacidas en 1942 y 1957 no vacunadas en 2022.
- Además, se mantienen las indicaciones de vacunación, a partir de los 18 años de edad, para los grupos de riesgo detallados anteriormente.
Pauta de vacunación
La pauta de vacunación consiste en dos dosis de 0,5 ml cada una, con un intervalo mínimo de dos meses entre dosis.
Precauciones y contraindicaciones
— Se debe posponer la vacunación en personas que padezcan una enfermedad febril aguda y grave. Sin embargo, la presencia de una infección menor, como un resfriado, no debe dar lugar a un aplazamiento de la vacunación.
— Las personas con un episodio activo de herpes zóster deben retrasar la vacunación hasta haber superado la fase aguda de la enfermedad.
— No hay datos en mujeres embarazadas, por lo que no se aconseja su administración durante el embarazo.
— Se puede considerar su uso durante la lactancia.



